Is a bone graft necessary for Dental Implants?
The necessity for bone grafting before or at the same time as receiving a dental implant depends on both the density and volume of the jawbone in the targeted area. While not every case requires a graft, the extent of bone loss can vary significantly.
The implant diameters placed in the front tooth area usually vary between around three and four mm, while in the posterior area, implants are subject to more stress, and hence the diameter is increased to around four to six mm. In situations where there is less than approximately 1.5 to 2 mm of bone on all sides of the proposed implant site, a graft is usually recommended to ensure the long-term stability of the implant. However, the severity of bone loss can range from minor cases requiring a simple graft to more advanced cases where major reconstruction is needed before any implant placement to ensure a solid foundation for the implant. This variation highlights the importance of assessing each individual’s condition to determine the appropriate treatment. Since
We always place our implants computer navigated and prepare for the operation optimally, we combine a three-dimensional X-ray (CBCT) with a digital scan of your teeth and simulate the operation on computer software (ExoCad).
Thin bone
When the bone has completely thinned to a knife edge, a bone graft is the only way the bone can be restored to become compatible with a dental implant. At the stage of bone loss seen in the image, the bone graft not only restores the bone but also supports vital facial structures like the lips.
In the case below, the patient lost his upper jaw front teeth and a lot of bone due to a car accident. The remaining bone was sufficient in height, but not in width (1-1.5 mm). Since the planned implant’s diameter was between 3.3 and 3.8 mm in diameter we needed to augment between five and seven mm of one to have 1.5 to 2 mm of bone surrounding our implants. These large bone augmentations are usually performed with the patient’s own bone from the lower jaw angle, plus bovine or porcine bone replacement material.
Figure 1.1 – The CBCT scan showing the missing upper jaw front teeth and a very thin remaining bone.

Figure 1.2 – The CBCT sliced in the sagittal dimension exhibiting a knife-edge bone.

Figure 1.3 – The CBCT sliced in the horizontal dimension exhibiting a knife-edge bone, where it is impossible to insert an implant with primary stability and an aesthetically pleasing result.

Figure 1.4 – The bone was augmented with cortical bone plates fixed with cortical screws and bovine bone replacement material, no being thick enough to receive implants in around three months.

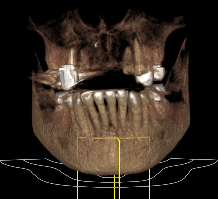
Medium-sized bone
Patients with reduced bone thickness have an increased possibility of needing bone grafting to ensure long-term implant stability and aesthetic success. After every extraction, the bone loses the width needed for the implant and restoration to stay secure and beautiful. In most cases, the bone volume is still considerable, and patients can be treated for both the bone graft and implant simultaneously. As always, we prepare for our implant operations with a three-dimensional X-ray and a digital scan of the teeth, and we can tell you straight away which route needs to be taken.
In the case below, the patient lost his upper jaw front teeth and a lot of bone due to a bicycle accident. The remaining bone was sufficient in height, but not entirely in width (2-4 mm), to place implants without bone augmentation. Since the planned implant’s diameter was between 3.3 and 3.8 mm in diameter we needed to augment between two and five mm of bone to have 1.5 to 2 mm of bone surrounding our implants. This bone augmentation was performed with a combination of the patient’s own bone from the implant cavity bone mixed with bovine bone replacement material, and the augmented area was covered with a membrane.
Figure 1.1 – The CBCT scan showing the missing upper jaw front teeth and a thin remaining bone.

Figure 1.2 – The CBCT sliced in the sagittal dimension exhibiting a bone too thin to place implants without bone augmentation.

Figure 1.3 – The CBCT sliced in the horizontal dimension

Large-sized bone
When the bone is healthy and thick, it creates a solid foundation for the dental implants to be embedded into. It’s important that the bone can support the implants and withstand pressure from daily activities like chewing and talking, and even grinding. The implant must fuse with the surrounding bone for it to be a successful treatment.
In the case below, the patient lost his upper jaw front teeth due to an accident and failing root canal treatments. The remaining bone was sufficient in height and width (6-7 mm) to place implants without bone augmentation.
Figure 1.1 – The CBCT scan showing the missing upper jaw front teeth and a dense and sufficient volume of bone.

Figure 1.2 – The CBCT sliced in the sagittal dimension

Figure 1.3 – The CBCT sliced in the horizontal dimension

Wimpole St Dental Clinic has strict sourcing guidelines and relies on peer-reviewed studies, academic research institutions, and medical associations. We avoid using tertiary references. You can learn more about how we ensure our content is accurate and current by reading our editorial policy.

