Full Mouth Reconstruction

Treatment
Varies depending on complexity and staging

Price
Dependent on individual treatment plan

Team Experience
50+ years

Recovery Time
Varies by treatment stage

Google Rating
★★★★★ (4.9)
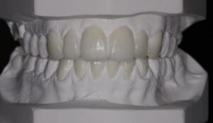
Examples of our work
The patient, in her mid-40s, presented with concerns about the appearance and overall condition of her teeth. She was particularly unhappy with the colour and positioning of her upper front tooth, which contained a large composite filling, and felt self-conscious about the discolouration affecting her back teeth.
Rebuilding comfort, function and confidence for complex dental cases
Full mouth reconstruction is an advanced and comprehensive dental treatment designed to restore comfort, function and aesthetics when many teeth are worn, damaged or missing. At Wimpole Street Dental Clinic, complex cases are carefully planned using a coordinated approach between all dental specialists under the overall care of Prof Mehl. It can combine dental implants, crowns, bridges, root canal treatments, gum disease, orthodontics and veneers into a single, structured synoptic treatment plan.
Led by Prof Dr Christian Mehl, full mouth reconstruction focuses on rebuilding the entire mouth so that teeth and the entire masticatory system work together naturally and predictably, with long-term results as the priority.
What is full mouth reconstruction?
Full mouth reconstruction is a comprehensive dental treatment that restores multiple teeth across both the upper and lower jaws. Its purpose is to rebuild function, comfort and stability while also improving appearance.
Over time, teeth can wear down, fracture, shift or fail due to grinding, erosion, decay or previous dental work reaching the end of its lifespan. Prevalent gum disease might add to the problem. As this happens, the bite may become unstable, chewing may feel uncomfortable and remaining teeth may be placed under increasing strain.
Full mouth reconstruction addresses these issues by treating the mouth and the entire chewing system as a whole. This often involves replacing missing teeth with dental implants, rebuilding damaged teeth with crowns, refining appearance with veneers and restoring the bite so that forces are evenly distributed.
A planned approach to complex dental treatment
A defining feature of full mouth reconstruction at Wimpole Street Dental Clinic is the way treatment is planned. Before any irreversible procedures begin, the final outcome is carefully designed.
This includes determining how the teeth should meet, how the bite should function and how the final smile should look. Only once this overall plan is established are individual treatments selected and sequenced.
This structured approach allows complex care to be delivered in a controlled and predictable way. It ensures that implants, crowns and veneers work together as part of a single system rather than as isolated solutions.
Treatments used in full mouth reconstruction
Full mouth reconstruction is not a single procedure. It is a carefully planned combination of treatments, selected according to individual needs and delivered in a logical sequence.
Dental implants
Dental implants are often used where teeth are missing or cannot be preserved. They replace the root of the tooth and provide a stable foundation for crowns or bridges.
In full mouth reconstruction, implants are planned in relation to the final bite design rather than placed in isolation. This ensures they contribute to long-term stability and do not place excessive stress on surrounding teeth or restorations.
Dental crowns
Crowns are used to rebuild teeth that are weakened, heavily restored or severely worn. Within full mouth reconstruction, crowns restore proper tooth height, alignment and bite balance.
This coordinated use of crowns helps protect teeth from further wear and reduces the risk of future breakage or failure.
Dental veneers
Veneers are typically used in the later stages of treatment to refine tooth shape, proportion and colour. Once function and bite stability have been restored, veneers allow for precise aesthetic detailing while preserving natural tooth structure.
Supporting treatments
Depending on the case, treatment may also include gum therapy, root canal treatment, bite stabilisation or preparatory procedures. These steps are essential to create a healthy foundation and are fully integrated into the overall plan.
Prof Dr Christian Mehl – Specialist in full mouth reconstructions and complex cases
Full mouth reconstruction at Wimpole Street Dental Clinic is led by Prof Dr Christian Mehl, an internationally recognised specialist in prosthodontics and complex dental rehabilitation. With over 25 years of clinical experience, his work focuses on rebuilding severely worn, damaged or failing dentitions, particularly where dental implants, crowns and veneers must function together as a single, stable system.
Alongside his clinical practice, Prof Dr Mehl has a strong academic and research background. He holds a professorship at the University at Kiel in Germany, teaches internationally, and has published extensively in peer-reviewed journals. This academic foundation ensures that treatment planning is evidence-based and guided by long-term outcomes rather than short-term cosmetic results.
For patients, this level of expertise means full mouth reconstruction is approached with clarity, structure and foresight. Every treatment plan is designed from the final outcome backwards, allowing complex care to be delivered predictably, comfortably and with durability as the priority.

What is the dental synoptic treatment concept?
Looking at the whole mouth, not just individual teeth
When dental problems affect many teeth at once, treating them one by one can lead to compromise. A crown may fix one tooth without addressing why it failed. A veneer may improve appearance without restoring how the bite functions.
The synoptic treatment concept starts by looking at the entire mouth as one connected system. This includes how your teeth meet, how you chew and how pressure is distributed across your bite.
Designing the end result before treatment begins
Rather than beginning with individual procedures, the final outcome is planned first. This means deciding what a healthy, comfortable and natural result should look and feel like once treatment is complete.
Once this is clear, every stage of treatment is planned around that goal. Nothing is done in isolation, and every decision supports the final result.
Planning treatment in the right order
In complex cases, the order in which treatments are carried out matters. The synoptic treatment concept allows treatment to be carefully sequenced so that each step builds on the last.
Dental implants, crowns, veneers and supporting treatments are introduced at the appropriate time, reducing unnecessary adjustments and helping treatment progress smoothly.
Reducing uncertainty and building confidence
Because the entire plan is created before treatment begins, patients experience fewer unexpected changes along the way. There is clarity around what will happen, why it is needed and how each stage contributes to the final outcome.
This structured approach often makes complex treatment feel more manageable and less overwhelming.
Understanding the cost of full mouth reconstruction
The cost of full mouth reconstruction varies depending on the complexity of the case, the number of teeth involved and the treatments required.
Patients often search for full mouth reconstruction cost or price in the UK. There is no fixed price, as treatment is highly individual.
Following a comprehensive consultation, you will receive a detailed treatment plan outlining each stage of care and the associated costs. Finance options are available to help spread the investment where appropriate.

Looking for the best Full Mouth Reconstruction in London?
Full mouth reconstruction is a significant investment in your oral health. This level of treatment depends as much on planning and experience as it does on technical skill.
Wimpole Street Dental Clinic is known for managing complex dental cases that require advanced planning and multidisciplinary care. Treatment is delivered under one roof, allowing close collaboration between clinicians and clarity throughout your journey.
Every case is planned from the final outcome backwards. Advanced digital planning is combined with expert laboratory craftsmanship to deliver precise, natural-looking results. Long-term maintenance is built into every treatment plan to support durability and comfort.
Frequently asked questions
What does full mouth reconstruction actually involve?
It is a structured combination of treatments designed to rebuild the entire mouth so that teeth function together comfortably and predictably. This commonly includes dental implants, crowns and veneers, supported by careful bite planning and stabilisation.
How is full mouth reconstruction different from having multiple crowns or veneers?
Crowns or veneers placed without a comprehensive plan may improve individual teeth but fail to address underlying bite issues. Full mouth reconstruction considers how all teeth function together as a system.
Will I need dental implants as part of my treatment?
Dental implants are commonly used when teeth are missing or cannot be preserved, but not every patient requires them. This is determined during your consultation.
How are implants planned in full mouth reconstruction?
Implants are planned in relation to the final bite design using advanced diagnostics. This ensures predictable long-term function and stability.
Why are crowns often used instead of fillings?
In extensively worn or damaged teeth, fillings may not provide adequate strength. Crowns allow teeth to be rebuilt to their correct shape and height.
When are veneers used?
Veneers are usually used in the later stages of treatment to refine appearance once function and bite stability have been restored.
How long does treatment take?
Treatment time varies depending on complexity. Implant-based reconstructions often take longer due to healing stages.
Will I have temporary teeth during treatment?
Temporary restorations are often used to maintain appearance and function and to assess comfort before final restorations are fitted.
Is full mouth reconstruction painful?
Treatment is carefully staged, with comfort prioritised throughout. Most patients find the process more manageable than expected.
How long will the results last?
With appropriate planning, materials and maintenance, results can last many years. Ongoing care is essential.
What if I grind my teeth?
Grinding is carefully managed as part of treatment planning. Protective measures may be recommended to support long-term stability.
What is the first step?
The first step is a consultation to assess your needs and discuss your options clearly and honestly.
New treatment page
Written by: Prof Dr Christian Mehl
Medically reviewed by: Dr Raul Costa
Wimpole St Dental Clinic has strict sourcing guidelines and relies on peer-reviewed studies, academic research institutions, and medical associations. We avoid using tertiary references. You can learn more about how we ensure our content is accurate and current by reading our editorial policy.


