Jack
“I no longer hesitate to smile in photos or when meeting new people.”
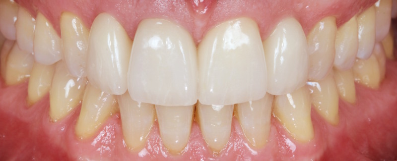
A carefully planned implant and crown restoration designed to resolve complex dental issues while restoring confidence, comfort and a completely natural-looking smile.
- Expert-led restorative care for complex dental concerns, with long-term health at the centre of every decision.
- Clear communication and meticulous attention to detail at every stage, creating a calm and reassuring experience.
- Seamless, natural results that blend perfectly with existing teeth and allow you to smile freely again.
Treatment by: Dr Raul Costa

Meet the dentist:
Dr Raul Costa is a London cosmetic dentist skilled in veneers, crowns and bonding, known for minimally invasive techniques that achieve lasting aesthetic and functional results.

We are rated 4.9 stars by our patients.
“I was searching for a dental practice with real expertise in complex restorative work and was recommended to visit by trusted relations. From the initial consultation through to completion, the treatment was remarkably comfortable, with the team explaining each step thoroughly.”
The professionalism throughout my treatment was fantastic. Every appointment ran punctually, communication was clear, and the attention to detail was exceptional. The aftercare has been brilliant too. They have always been on hand to address any worry or concern.
The treatment has significantly improved my dental health. My new implant and crowns look completely natural and blend perfectly with my existing teeth. I genuinely love the result.

Has this transformation made a difference in your confidence or interactions?
“Absolutely. I no longer hesitate to smile in photos or when meeting new people. I just wish I had done it much earlier. I have absolutely no regret.”

BEFORE

AFTER
Book a consultation
Ready to restore your smile with natural, lasting results? Book a consultation with Wimpole Street Dental Clinic today. Our expert team will guide you through your options and help you feel confident in your smile again.


