Amy
“I did the treatment to improve my dental health, but actually it helped a lot with my self-confidence.”
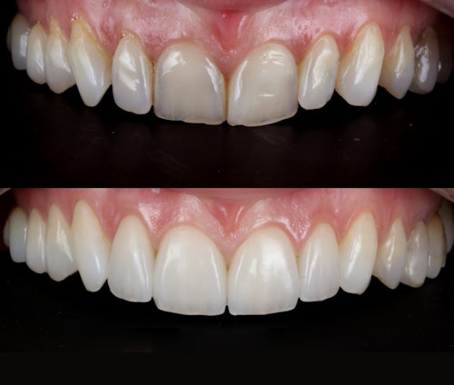
A confidence-boosting veneer treatment designed to preserve natural tooth structure while enhancing the harmony and youthfulness of your smile.
- Ultra-restorative approach that maintains your natural character and tooth structure.
- Supportive, unhurried care with clear explanations at every stage for anxious patients.
- Natural-looking results that subtly rejuvenate your appearance and restore everyday confidence.
Treatment by: Dr Raul Costa

Meet the dentist:
Dr Raul Costa is a London cosmetic dentist skilled in veneers, crowns and bonding, known for minimally invasive techniques that achieve lasting aesthetic and functional results.

We are rated 4.9 stars by our patients.
“I chose Dr Costa because of his ultra-restorative approach, so when I consulted about having veneers done, I was sure that this approach would have maintained not only as much as possible of my original teeth, but also about my character and appearance in a harmonious way. The result was much more than that!”
The reception team is very kind and proactive, making sure that I am comfortable whilst waiting to be seen. Dr Costa is exceptionally caring and usually spends time to have a conversation and check in on how I feel on the day. I also appreciate the fact that he never seems on a rush, taking time to explain the overall treatment and then each step along the way, this is important to me as I tend to be a bit anxious. Dr Costa is very passionate, honest, and emphatic, so I know what to expect at every stage of the treatment. His assistants are great, very caring; the team works in harmony creating a very positive atmosphere, with some humour at the right time too!
The treatment has greatly improved my dental health, I am confident that I won’t need much else for the foreseen future. My smile looks great, people noted it in a very subtle way, which is exactly what I wanted as I still look like myself but improved. Some people suggested it makes me younger, which is something I did not expect.

Has this transformation made a difference in your confidence or interactions?
“I did not expect such a great improvement in my self-confidence. I noticed that I tend to smile more, and my body posture has slightly changed, more open towards the other people I am speaking with.
I also noted that, after more than 15 years of careful eating, I had an apple without cutting it into mini pieces! I just realised how worried I was about my fragile teeth. I am now wearing a bit of a lipstick, and I feel really good about myself. I did the treatment to improve my dental health, but actually it helped a lot with my self-confidence.
Thank you, Dr Costa and Team!”

BEFORE

AFTER
Book a consultation
Ready to enhance your smile with natural, lasting results? Book a consultation with Wimpole Street Dental Clinic today. Our expert team will guide you through your options and help you achieve a confident, healthy smile.


