Navigated dental implants in London

Treatment
1+ hour for each implant

Price
From £2,200

Team Experience
25+ years

Recovery Time
1+ day

Google Rating
★★★★★ (4.9)
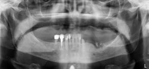
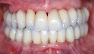
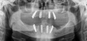
Examples of our work
Navigated implants represent a breakthrough in dental implant precision, using advanced 3D-guided technology to ensure optimal placement and alignment. At Wimpole Street Dental Clinic, our navigated implant case studies highlight how we leverage this technology to provide predictable, accurate, and minimally invasive solutions for tooth replacement. Each case reflects our dedication to innovation and patient-focused care, resulting in natural-looking, secure implants that restore both function and confidence.
What are navigated implants?
Navigated implants are placed using an advanced dental navigation system that combines 3D imaging, computer planning, and guided surgery software. Instead of relying solely on the surgeon’s freehand skill, the navigation system helps dentists position implants at the ideal depth, angle, and location in the jawbone. It even allows us to produce temporary restorations before the actual surgery reduce the time you have without teeth to minutes.
This innovative digital dentistry technology and approach reduces risks, avoids unnecessary trauma to surrounding tissues, and often eliminates the need for more invasive bone grafting. For patients, it means better implant accuracy, faster treatment, fewer appointments, and implants that look, feel, and function like natural teeth.
By recording every stage of the procedure digitally, we can also replicate or adjust your restoration more easily in the future.
Why choose navigated implants over traditional implants?
Traditional implant surgery is often performed freehand, which—even in expert hands—relies heavily on manual skill and experience. While highly effective, freehand placement can occasionally lead to small deviations that impact long-term results.
In contrast, navigated implant surgery offers:
- Greater precision: The implant system maps out the exact position of your implant in advance.
- Less invasive procedures: Smaller incisions and minimal disruption to the gum line.
- Shorter surgery times: Digital planning allows implants to be fitted more efficiently.
- Improved comfort: Patients often report less post-operative discomfort.
- Predictable outcomes: Restorations align seamlessly with your bite and smile.
- Easier future treatment: Digital records make future adjustments straightforward.
What happens during navigated implant surgery?
Every implant journey begins with a consultation. Here’s what you can expect:
Step 1 – Consultation and planning
Your implant surgeon will take a detailed medical and dental history and examine your teeth and gums. Factors such as gum health, bone density, and lifestyle habits (such as smoking) are assessed to confirm suitability.
Step 2 – 3D imaging
We use a CBCT (cone beam CT) scan alongside digital impressions and photography to create a precise 3D model of your mouth. This allows us to plan your implant placement virtually.
Step 3 – Digital planning
Using a 3D navigation system, our dentists position implants digitally at the perfect angle and depth. This plan is then transferred into a customised surgical guide and if needed temporary teeth, which can be placed directly onto the newly placed implants.
Step 4 – Surgery day
On the day of treatment, you’ll be welcomed into our central London clinic and we will explain the surgery again step by step. Your implant guide ensures the implant is placed in exactly the pre-planned location. Sedation is available for anxious patients who prefer a more relaxed experience.
Step 5 – Recovery and restoration
Because the procedure is less invasive, recovery is typically quicker—most patients return to normal activities the next day. A temporary crown or bridge may be placed immediately, followed by your final restoration once healing is complete.
Navigated Implant Process
Meet your award-winning Navigated Dental Implants dentist and team…
At Wimpole Street Dental Clinic, we’re one of the few London practices using the most advanced implant navigation systems. Our surgeons bring over 75 years of combined experience and have placed more than 10,000 implants. With state-of-the-art navigation technology and in-house CBCT scanning, every treatment is planned and delivered with exceptional accuracy. Our internationally recognised clinicians teach, publish, and lecture on digital dentistry, and each procedure is performed under magnification for absolute precision. By blending innovation with artistry, we achieve results that are both functional and beautifully natural.
Leaders in Navigated Implants
Wimpole Street Dental Clinic is internationally recognised as a leader in navigated implant dentistry, with over 25 years of dedicated research and clinical excellence driving our approach.
Our team has played a pivotal role in advancing digital implantology, contributing to groundbreaking studies that have shaped modern surgical techniques and improved outcomes for patients worldwide.
Led by internationally respected clinicians, we combine academic expertise with extensive practical experience to deliver results that set new standards in precision, predictability, and aesthetics. Our work is regularly published in leading scientific journals, and we continue to lecture and collaborate with dental institutions across the globe to push the field forward.
Find out more about our recent publications or lectures in this field.

Looking for the best Navigated Dental Implants in London?
Dental implant surgery is always a big decision to make and can have life-changing results in regards to boosting self-confidence and restoring teeth function if you’ve previously lost teeth. We recognise that it’s not an easy or quick decision to make, but here are a few key reasons why you can trust Wimpole Street Dental Clinic as the right choice for navigated implants.
We’ve invested in the best digital equipment and training for navigated implants. Not only do we have and use some of the most advanced cutting-edge dental technology in the UK (3D X-ray machine in-house, digital scanning technology, professional photography equipment and the latest implant planning software), but we also advise others on how to use it. We regularly present lectures , and training and write in dental publications about such digital dentistry techniques and research.
We’re a team of highly experienced and highly trained London dentists . All of our staff regularly undertake new training to better themselves and the dental care they can provide to our patients. Not only is our team incredibly friendly and amiable, but they are also hugely knowledgeable about digital dentistry. As such, Wimpole Street Dental Clinic is one of the few dental practices nationally that offers navigated implants and other digital dentistry techniques as part of its service offering.
Navigated Implants FAQs
What is the navigation system for dental implants?
A dental navigation system is a computer-aided tool that guides dentists during implant placement. It merges CBCT scans with digital impressions to create a virtual 3D model of your mouth. The system then provides real-time guidance so the implant is positioned at the exact angle, depth, and location planned in advance. This improves accuracy, reduces invasiveness, and ensures long-lasting results compared with freehand placement.
What is the cost of Navident?
Navident is a brand of dynamic navigation system used for placing implants. The cost of treatment with Navident at Wimpole Street Dental Clinic starts from £2,800 per implant. Exact pricing depends on the number of implants, the complexity of your case, and whether additional treatments (such as bone grafting or sinus lifts) are required. During your consultation, your dentist will provide a detailed treatment plan and breakdown of costs.
What is the 3/2 rule for dental implants?
The 3/2 rule is a guideline used in implant dentistry to ensure implant stability and long-term success. It recommends maintaining at least 3 mm of bone between an implant and the natural teeth, and at least 2 mm of bone between adjacent implants. This spacing protects bone health, reduces the risk of implant failure, and supports natural aesthetics. Using a navigation system makes applying these rules more precise and reliable.
Do GPS implants exist?
While there aren’t implants with built-in GPS trackers, the concept of GPS-style navigation is used in modern implantology. Advanced systems like Navident act like a satellite navigation system for dental implants, guiding the surgeon in real time with millimetre-level accuracy. This ensures implants are positioned exactly where planned, avoiding nerves and sinuses while improving comfort and predictability.
Are navigated implants more accurate than traditional implants?
Yes. Studies consistently show that navigated dental implants placed with a 3D navigation system are more accurate than freehand implants. The system reduces margin of error, ensures correct angulation, and decreases surgical time. For patients, this means less discomfort, faster healing, and more reliable outcomes.
Who is suitable for navigated implants?
Most patients who are suitable for conventional dental implants are also candidates for navigated implants. This includes individuals with missing teeth, damaged teeth that need replacing, or unstable dentures. Patients with lower bone density often benefit more from navigated surgery, as the technology helps optimise implant placement where space is limited. A full consultation will confirm suitability.
Content updated
Written by: Prof Dr Christian Mehl
Medically reviewed by: Dr Raul Costa
New page design
Written by: Prof Dr Christian Mehl
Medically reviewed by: Dr Raul Costa
Original content created
Written by: Prof Dr Christian Mehl
Medically reviewed by: Dr Raul Costa
Wimpole St Dental Clinic has strict sourcing guidelines and relies on peer-reviewed studies, academic research institutions, and medical associations. We avoid using tertiary references. You can learn more about how we ensure our content is accurate and current by reading our editorial policy.
- Mehl C, Kern M, Zimmermann A, Harder S, Huth S, Selhuber-Unkel C. Impact of Cleaning Procedures on Adhesion of Living Cells to Three Abutment Materials. Int J Oral Maxillofac Implants. 2017 Sep/Oct;32(5):976-984. doi: 10.11607/jomi.5630. PMID: 28906501.


