Smile Makeover in London

Treatment
8+ hours

Price
From £10,000+

Team Experience
50+ years

Recovery Time
1-3 days

Google Rating
★★★★★ (4.9)
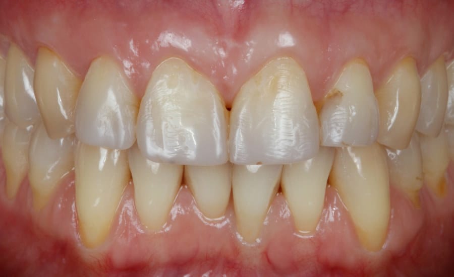
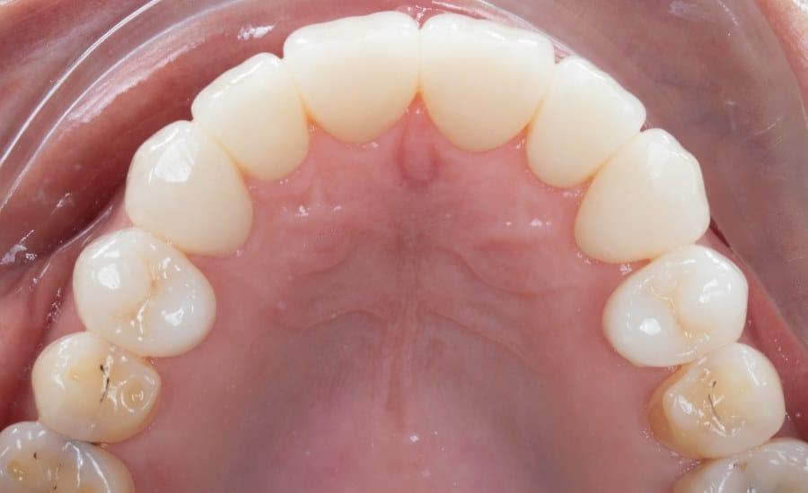
Our most recent smile makeover
This wonderful patient was conscious of her smile due to excessive wear and gum recessions. We started the treatment by addressing the recessions and performed gum grafts, whilst temporarily repairing the enamel. Once nicely healed, Dr Raul Costa designed the smile and mocked it up on the teeth. The patient approved, and porcelain veneers, that covered both labial and palatal sides of the teeth, were fabricated by a world class technician.
Hover over each photo for an explaination of each stage or click on it to enlarge it.
What is a smile makeover?
A smile makeover is a customised combination of cosmetic dentistry procedures designed to improve the appearance, function, and long-term health of your teeth. Your smile may be transformed using veneers, Invisalign, teeth whitening, composite bonding, crowns, dental implants, gum lifts or a combination of treatments.
Each plan is tailored to the patient. No two smile makeovers are the same.
A full smile makeover can correct:
• Crooked teeth
• Worn enamel
• Gaps and crowding
• Missing teeth
• Discolouration and staining
• Cracked or chipped teeth
• Old dental work that needs replacing
• Gummy smile concerns
As a leading Harley Street smile clinic, we focus on long-lasting results, natural aesthetics, and a healthy bite.
Why choose our London smile clinic for cosmetic dentistry?
Wimpole Street Dental Clinic is recognised as one of the most respected cosmetic dentistry centres in London. Patients travel from across the UK and internationally because our approach is built on precision, safety and exceptional aesthetic outcomes.
World-renowned cosmetic and restorative specialists with 50+ years of experience
Every full smile makeover is carefully planned and carried out by clinicians who are leaders in their field. At the centre of our cosmetic team are Prof Dr Christian Mehl and Dr Raul Costa, both known for their advanced knowledge, academic contribution and exceptional restorative skills.
Prof Mehl is internationally recognised for his expertise in dental implants, prosthodontics and full mouth rehabilitation. As a published researcher and lecturer, his work is grounded in science and long-term predictability. His focus is to create beautiful smiles that last, combining natural aesthetics with functional precision.
Dr Costa brings outstanding craftsmanship to cosmetic dentistry, particularly in the field of porcelain veneers and complex smile reconstruction. His treatment planning considers facial symmetry, tooth shape, colour and bite mechanics to ensure a smile that looks beautiful, functions well and protects your long-term oral health. Patients consistently praise his calm, thoughtful approach and his eye for elegant, natural detail.
Digital smile design and advanced 3D planning
A smile makeover at Wimpole Street Dental Clinic is not guesswork. We use advanced imaging, photography, 3D scanning and digital smile design software to show what your new smile will look like before treatment begins. This allows complete transparency, predictable results and absolute confidence in your treatment plan.
Changes can be previewed, refined and approved digitally, giving you control and clarity at every stage.
Master ceramic technicians and an in-house laboratory
Unlike most cosmetic clinics, we have an in-house laboratory with master ceramic technicians who work directly alongside our dentists. This allows for:
- Perfect shade and colour matching
- Faster adjustments
- Complete quality control
- Highly personalised aesthetics
Each veneer, crown or bridge is handcrafted using premium ceramics that mimic natural tooth translucency and texture. Subtle details make a dramatic difference—and these are the details our team is known for.
A full multidisciplinary team under one roof near Harley Street
Many smile makeovers involve more than just veneers. Your treatment may require orthodontics, dental implants, periodontics or gum reshaping. Instead of referring you to multiple practices, everything is completed in our central London clinic by specialists who collaborate daily.
This ensures seamless communication, safer treatment planning and results that are consistent from start to finish.
Thousands of successful cosmetic transformations
From subtle improvements to complete full-arch rehabilitation, our clinic has delivered life-changing results for thousands of patients. Our work is grounded in evidence-based dentistry, long-term durability and minimally invasive techniques that preserve natural tooth structure wherever possible.
Patients trust us because we combine medical precision with aesthetic artistry.
A calm, modern dental practice designed for comfort
From your first visit, you will experience a quiet, modern and relaxing clinic environment. Our team understands that cosmetic treatment can feel overwhelming, and we take the time to explain every step and ensure you feel supported throughout.
Advanced technology, gentle techniques and meticulous planning mean that your smile makeover is not only beautiful—but comfortable, safe and predictable.
You are in the best possible hands
If you want a natural, elegant and long-lasting full smile makeover, Wimpole Street Dental Clinic offers one of the most experienced cosmetic teams in the UK. With specialist dentists, world-class ceramic artists, advanced planning tools and a comprehensive approach to cosmetic dentistry, your new smile is created with extraordinary care and expertise.
Cosmetic dentistry treatments are used in a smile makeover
Teeth whitening for a brighter smile
Professional tooth whitening removes deep stains and restores natural brightness. We offer in-office whitening, home whitening kits and Zoom whitening options.
Ceramic veneers for a perfect smile
Ceramic veneers and composite veneers correct chips, discolouration, worn edges, and small gaps. They are custom-designed for a natural, confident smile.
Composite bonding to repair minor imperfections
Cosmetic bonding is ideal for reshaping teeth, closing small gaps and repairing damage. It is minimally invasive and provides instant results.
Invisalign orthodontic treatment for crooked teeth
Clear aligners straighten teeth without metal braces. Many smile makeovers include Invisalign to improve alignment before cosmetic work begins.
Dental implants to replace missing teeth
Implants restore both function and appearance. They protect bone levels and offer long-term stability.
Crowns and bridges to protect damaged teeth
Crowns strengthen weakened teeth and improve appearance. Bridges replace missing teeth when implants are not suitable.
Gum lift for gummy smile concerns
A gentle gum contouring procedure can rebalance gum height and create a more harmonious smile.
Mini smile makeover vs full smile makeover
A mini smile makeover focuses on cosmetic improvements to the front teeth. Treatments usually include whitening and composite bonding or veneers. It is fast, effective and ideal for small aesthetic changes.
A full smile makeover treats the entire smile, bite and function. This may include orthodontics, implants, crowns and ceramic veneers. A full makeover is suitable for complex cases, worn teeth, missing teeth or severe aesthetic concerns.
Our cosmetic dentists can advise which option is best for you during your consultation.
Benefits of a smile makeover
• A natural, confident, brighter smile
• Corrected crooked teeth and gaps
• Improved bite comfort and chewing function
• Easier cleaning and better long-term oral health
• Replacement of missing teeth
• Strengthened enamel and reduced risk of fractures
• A balanced, youthful smile
Results are designed to be long-lasting and durable.
Meet your award-winning Smile Makeover dental team…
Our smile makeover team combines over 50 years of specialist experience in cosmetic, restorative and implant dentistry, bringing together world-renowned clinicians who teach, publish and lecture internationally. Led by Prof Dr Christian Mehl and Dr Raul Costa, our team works with master ceramic technicians, digital smile designers and a full network of orthodontic, periodontal and implant specialists under one roof. This multidisciplinary expertise allows us to plan every detail with scientific precision, craft restorations with exceptional artistry and deliver smile transformations that are natural, functional and built to last.
Smile makeovers for complex cases
Many of our patients come to us after years of dental problems, failed cosmetic work, or concerns that feel “too complicated” to fix. At Wimpole Street Dental Clinic, complex cases are our specialty.
Our team includes internationally recognised experts in implants, prosthodontics, orthodontics and periodontics, allowing us to rebuild worn, damaged, or heavily restored teeth with absolute precision. Whether you are coping with severe enamel wear, missing teeth, gum recession, bite issues or old dental work that no longer looks or feels right, we create a clear, structured plan that restores both beauty and long-term function.
Every step is carried out using advanced diagnostics, 3D planning and handcrafted ceramics to ensure your new smile is not only transformative, but strong, healthy and lasting.

The smile makeover process
Undergoing a smile makeover at Wimpole Street Dental Clinic involves a detailed and personalized approach to transforming your smile. Here’s a more in-depth look at the process:
Initial consultation
Your journey begins with an initial consultation where you meet our team of expert cosmetic dentists. During this session, we discuss your dental concerns, aesthetic goals, and expectations. This conversation helps us understand your needs and allows you to express what you hope to achieve from the smile makeover. We also review your dental and medical history to ensure that we have a complete picture of your oral health.
Comprehensive dental examination
Following the consultation, we perform a thorough dental examination. This includes taking digital X-rays, photographs, and 3D scans of your teeth. These diagnostic tools help us evaluate the current state of your dental health and identify any underlying issues that need to be addressed as part of your makeover. This comprehensive assessment ensures that we tailor the treatment plan specifically to your needs.
Personalised treatment plan
Based on the findings from your examination, our team creates a customized treatment plan. This plan outlines the recommended procedures, the sequence of treatments, the estimated timeline, and the associated costs. We ensure that you understand each proposed treatment and feel comfortable with the plan. This collaborative approach ensures that your smile makeover is perfectly aligned with your expectations.
Treatment procedures
Your smile makeover may involve a variety of cosmetic and restorative dental procedures, including:
Teeth whitening: Professional treatments to remove stains and brighten your teeth.
Veneers: Custom-made veneers to correct issues like discolouration, chips, or gaps, giving your teeth a natural, beautiful look.
Invisalign and Braces: Orthodontic solutions to discreetly straighten misaligned teeth.
Dental implants: Durable, natural-looking implants to replace missing teeth and restore functionality.
Crowns and Bridges: High-quality restorations to strengthen and enhance the appearance of damaged or missing teeth.
Follow-up and aftercare
After completing the treatment procedures, we schedule follow-up appointments to monitor your progress and ensure the results are optimal. Our team provides detailed aftercare instructions to help you maintain your new smile. This includes guidance on oral hygiene practices, dietary recommendations, and regular dental check-ups to prolong the effects of your makeover..
More examples of Smile Makeovers
Looking for the best Smile Makeover in London?
Wimpole Street Dental Clinic is recognised as one of the leading centres for smile makeovers in London, offering a level of precision, artistry and clinical expertise rarely found in one place. Every transformation is guided by world-class cosmetic and restorative specialists, supported by an in-house laboratory of master ceramic technicians who handcraft each veneer, crown and restoration with meticulous detail. Our advanced digital smile design technology allows you to preview your results before treatment begins, ensuring complete confidence and transparency from the outset.
Unlike many clinics, we offer a fully multidisciplinary service under one roof – combining orthodontics, implants, periodontics and cosmetic dentistry – so even the most complex cases are planned seamlessly and safely by a collaborative team. With thousands of successful transformations, a 4.9★ Google rating and a reputation built on natural, long-lasting results, we deliver an exceptional standard of care at every stage of your smile makeover journey.
Smile Makeover FAQs
A smile makeover may take anywhere from a single appointment to several months, depending on the complexity of your treatment plan. Simple improvements such as teeth whitening or cosmetic bonding can often be completed in one visit, while more comprehensive transformations that involve veneers, implants or orthodontics naturally require a little more time. During your consultation, we create a personalised timeline so you know exactly what to expect at every stage.
A natural result is always the priority. Every smile we create is tailored to suit facial features, age, tooth proportions and your personal preferences. Our clinicians work closely with world-class dental technicians to craft restorations that mimic natural tooth texture, shade, translucency and brightness. This ensures your smile looks like it has always belonged to you, just perfected.
Most patients are surprised by how comfortable the process is. Modern cosmetic dentistry is designed to be minimally invasive. Local anaesthetic ensures you remain comfortable during procedures, and temporary sensitivity or mild tenderness afterwards tends to resolve quickly. For those who are especially anxious, we offer sedation options to make the experience completely relaxed.
How long do the results last?
With good oral hygiene and regular maintenance, a smile makeover can last many years. Ceramic veneers and crowns often provide over a decade of service, while dental implants are designed as a long-term, durable replacement for missing teeth. Whitening can be refreshed occasionally, and composite bonding may need maintenance over time. Your dentist will provide detailed aftercare guidance to help protect your new smile.
Our philosophy is always to preserve natural tooth structure. Modern veneers require only minimal shaping of the enamel, and in certain cases, no reduction at all. Careful digital planning allows us to keep the preparation as gentle and conservative as possible while still achieving a beautiful and long-lasting result. For patients who wish to avoid drilling completely, composite bonding and whitening provide alternative options.
Yes. Patients with gaps or missing teeth can benefit from dental implants, implant-supported bridges or crowns. Implants look, function and feel like natural teeth, and they also help preserve bone in the jaw. Replacing missing teeth restores appearance, chewing strength and facial structure, and often forms an important part of a full smile makeover.
Before any cosmetic treatment begins, we ensure the foundation of your smile is healthy. If gum disease, decay or infection is present, we will treat this first. Stabilising your oral health protects your long-term results and prevents complications. Once your gums and teeth are healthy, we proceed with your cosmetic plan.
Yes. Every smile makeover begins with design. Patients can try different tooth shapes, brightness levels and styles, whether they prefer a natural aesthetic or a brighter, more glamorous look. Digital smile design software allows you to preview the result before any treatment is carried out, and temporary prototypes can be placed so you can see your new smile in real life before finalising it.
Maintaining your results is straightforward. Regular brushing and flossing, routine check-ups and hygiene appointments, and sensible habits such as avoiding smoking and reducing heavily staining foods will all help keep your smile bright. If you grind your teeth at night, a custom nightguard can protect your veneers or restorations from unnecessary wear. We provide a personalised aftercare plan following treatment.
Yes. Many people choose a smile makeover because their teeth not only look worn, uneven or damaged but also don’t function properly. Orthodontics, implants, crowns and reconstructive treatments can restore balance to your bite, improve chewing efficiency and reduce strain on the jaw. For many patients, the improvement in comfort and daily function is just as valuable as the cosmetic transformation.
A smile makeover is one of the most impactful treatments in modern dentistry. Patients often tell us that they smile more, feel more confident, and are happier in photographs and social situations. Beyond appearance, a makeover can also improve oral health, function, and long-term stability. It is an investment in both aesthetics and well-being, with results that can last for many years.
Yes. We offer flexible finance options and staged payment plans to make treatment more accessible. All costs are outlined clearly in your treatment plan, with no hidden fees.
Not necessarily. Some patients achieve excellent results with whitening and minor composite bonding alone. Others benefit from orthodontic treatment, implants or crowns. The treatment plan is fully bespoke, designed around what you want to improve and how you want your teeth to look. Veneers are only recommended if they are the most appropriate option for your goals.
If excess gum tissue is affecting the balance of your smile, gum contouring or a gum lift can gently reshape the gum line. In more advanced cases, orthodontic or periodontal treatment may be recommended to create the ideal proportion between teeth and gums. The improvement is immediate and can transform the overall appearance of the smile.
Yes. Using digital smile design, photographs and scans, we produce a 3D visual of your future smile. Some patients also trial a temporary “mock-up” on their teeth before the final restorations are fitted. This makes the process predictable, transparent and reassuring.
New page design
Written by: Prof Dr Christian Mehl
Medically reviewed by: Dr Raul Costa
New page design
Written by: Prof Dr Christian Mehl
Medically reviewed by: Dr Raul Costa
Author biography added
Written by: Prof Dr Christian Mehl
Medically reviewed by: Dr Raul Costa
Original content created
Written by: Prof Dr Christian Mehl
Medically reviewed by: Dr Raul Costa
Wimpole St Dental Clinic has strict sourcing guidelines and relies on peer-reviewed studies, academic research institutions, and medical associations. We avoid using tertiary references. You can learn more about how we ensure our content is accurate and current by reading our editorial policy.


