Lin Qi
Lin Qi underwent teeth whitening and a dental hygiene session with Jennifer Boardman at Wimpole Street Dental Clinic. The treatment enhanced her smile's appearance and improved her oral health through professional cleaning and personalized oral hygiene advice.
Treatment by: Jennifer Boardman

Initial Situation
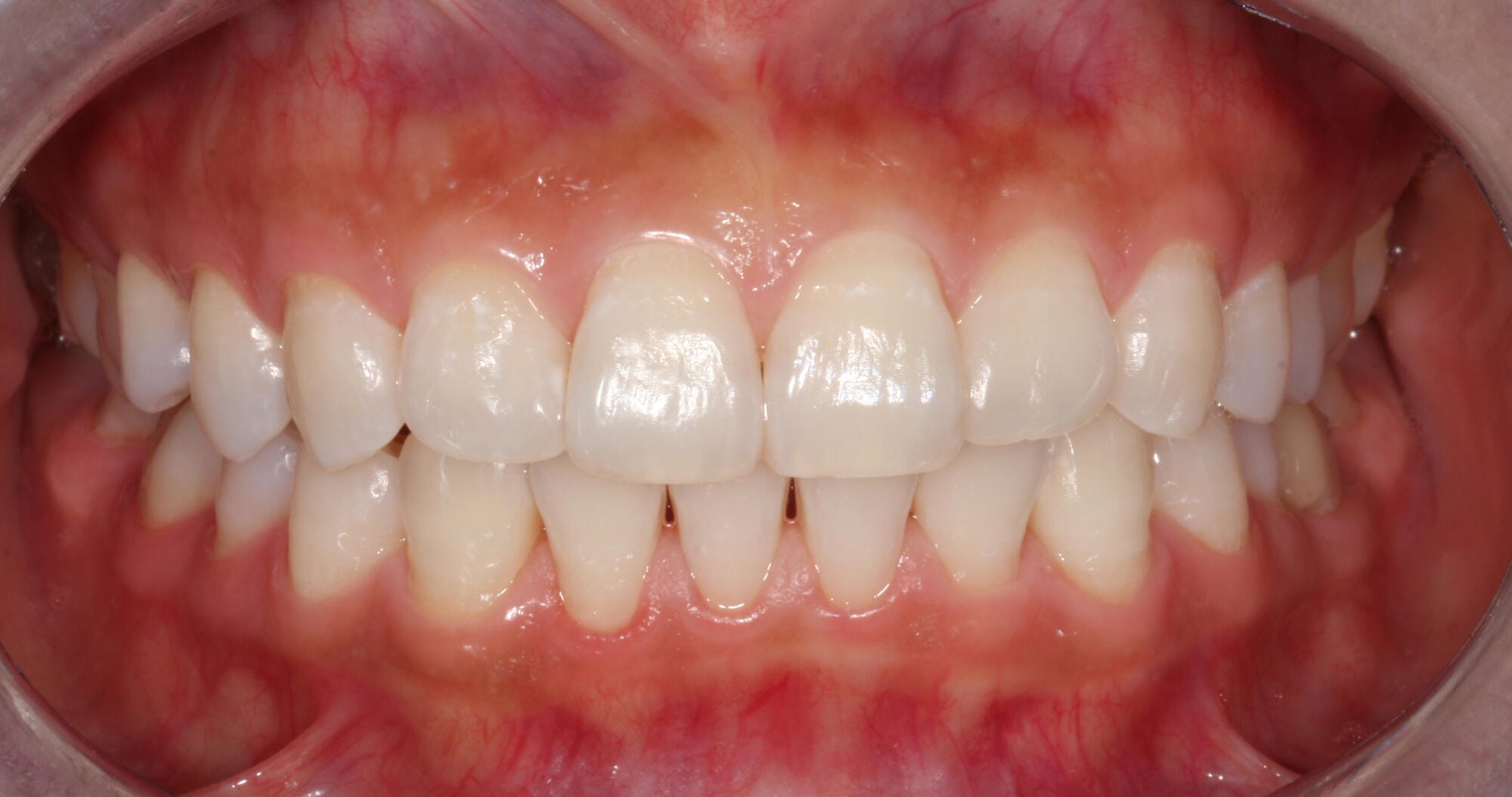
Lin Qi came to Wimpole Street Dental Clinic with two clear goals in mind: to brighten her smile and to improve her overall oral health. Like many patients, she wanted to feel more confident in her appearance while also taking proactive steps to maintain her dental hygiene.
She booked a combined appointment for professional teeth whitening and a dental hygiene session with Jennifer Boardman, one of the clinic’s highly regarded hygienists. This dual treatment offered both aesthetic and health benefits in a single, well-rounded visit.
Experience at Wimpole Street Dental Clinic
Lin’s teeth whitening treatment began with a detailed consultation to assess her dental condition and tailor the whitening plan to her individual needs. The whitening process was carried out carefully by the clinic’s team, effectively removing stains and discolouration. The result was a visibly brighter smile that looked natural and refreshed.
Alongside the whitening, Jennifer Boardman performed a comprehensive dental hygiene session. This wasn’t simply a routine clean. Jennifer meticulously removed built-up plaque and tartar, helping to prevent gum disease and future decay. She finished with a professional polish to bring out the full impact of the whitening results.
More importantly, Jennifer spent time with Lin explaining how to maintain oral hygiene between appointments. She offered practical, personalised advice, empowering Lin to take control of her long-term oral health with confidence and clarity.
Results
By the end of her visit, Lin Qi had achieved what she came for — a visibly whiter smile and a renewed sense of dental wellbeing. Her results went beyond cosmetic improvement. The combination of professional cleaning and whitening boosted her confidence and helped her understand the importance of maintaining a strong hygiene routine.
Her experience is a perfect example of how expert care, education, and gentle treatment can come together to deliver both immediate results and long-term benefits.

Meet the Hygienist: Jennifer Boardman
Jennifer Boardman is an experienced dental hygienist at Wimpole Street Dental Clinic, specializing in preventive care and patient education. Her approach is patient-centric, focusing on comfortable, informative dental treatments. Jennifer's commitment to oral health education and gentle care is integral to the clinic's high-quality services.Book a consultation
Ready to enhance your smile with natural, lasting results? Book a consultation with Wimpole Street Dental Clinic today. Our expert team will guide you through your options and help you achieve a confident, healthy smile.

