Natalie
Prof Dr Christian Mehl and the team at Aion Dental, led by Mr George Leventi, embarked on a transformative journey with a patient facing a myriad of dental challenges. From multiple missing and damaged teeth to infections in the bone, the patient's oral health situation was complex.
Treatment by: Prof Dr Christian Mehl


Meet the dentist:
Prof Dr Christian Mehl
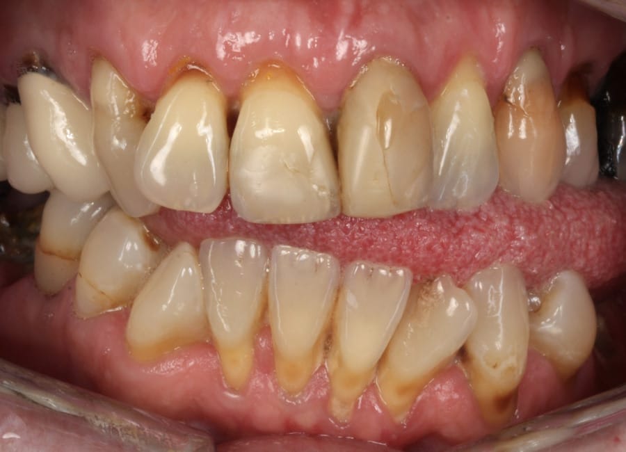
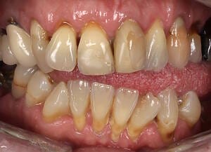
Initial Situation
Natalie arrived at Wimpole Street Dental Clinic facing an extremely challenging dental situation. She had several missing and damaged teeth, infections in the bone, and significant bite issues caused by a long-term tongue habit. On top of that, she was a smoker and had developed a strong dental phobia over the years, making it difficult for her to seek help sooner.
Her case was not straightforward, but it was clear that the right care could offer a completely new beginning. She was referred to Prof Dr Christian Mehl, a leading expert in dental implantology, who partnered with Mr George Leventi of Aion Dental to deliver a highly personalised and technically advanced treatment plan.

Experience at Wimpole Street Dental Clinic
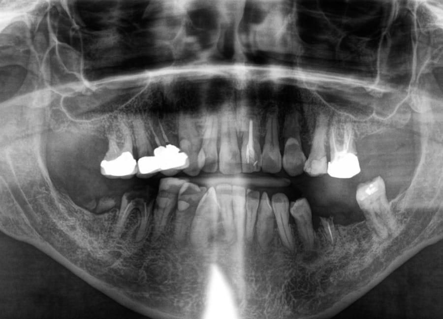
Natalie’s treatment began with a comprehensive clinical assessment, including a review of her medical and dental history, a full examination, and analysis of her functional difficulties such as her tongue habit and altered bite. A 3D cone-beam CT scan was then taken to assess bone quality and volume, identify areas of infection, and map important anatomical structures to ensure safe implant placement.
Alongside this, a digital intraoral scan and detailed photographic records were captured. These provided accurate models of her teeth and bite, as well as valuable information about facial proportions and smile aesthetics. Together, these records ensured that planning would address both the functional and cosmetic aspects of her rehabilitation.
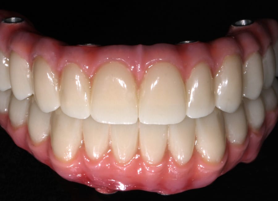
All data were transferred into digital treatment planning software, allowing virtual placement of implants and collaboration with the dental laboratory before surgery. This enabled careful evaluation of long-term outcomes and ensured the design of provisional and final prosthetics could be completed with precision. Following these discussions, the decision was made to proceed with the Fixed-Teeth-in-a-Day approach using the All-on-4 technique.
Surgical phase



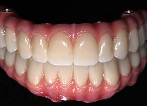
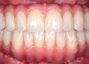
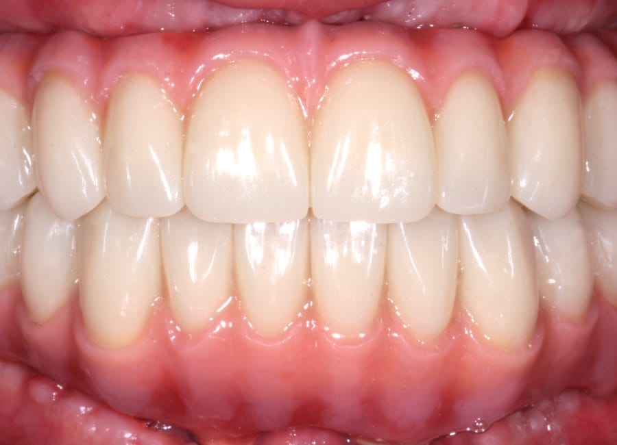
Results
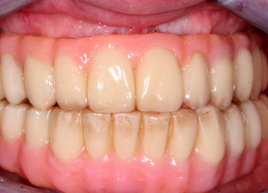
The moment Natalie saw her new smile, the emotion was undeniable. What had once been a source of discomfort, anxiety, and embarrassment had been completely transformed. Her new teeth restored full function and aesthetics, giving her back the ability to eat, speak, and smile without hesitation.
This result was more than cosmetic. It marked the end of a long journey filled with fear and hesitation, and the beginning of a new chapter defined by confidence and well-being. Natalie’s story is a powerful example of how modern dentistry, when led by skilled professionals and supported by cutting-edge technology, can restore much more than teeth.
What the patient said…
My first look in the mirror with my new set of teeth was incredible. I’m in disbelief and I feel a bit overwhelmed because it looks so good. At the same time, it looks so natural, it is the shape of my natural teeth and smile. They feel comfortable, I can speak with them. I feel very confident that this will work very well for me.
Book a consultation
Ready to enhance your smile with natural, lasting results? Book a consultation with Wimpole Street Dental Clinic today. Our expert team will guide you through your options and help you achieve a confident, healthy smile.

