Sophie
Sophie's dental journey at Wimpole Street Dental Clinic began with a complex challenge: a fractured root canal-treated tooth. Faced with options, Sophie chose a cutting-edge solution - an immediate implant after extraction, a decision that demonstrated her trust in modern dentistry.
Treatment by: Prof Dr Christian Mehl

Initial Situation
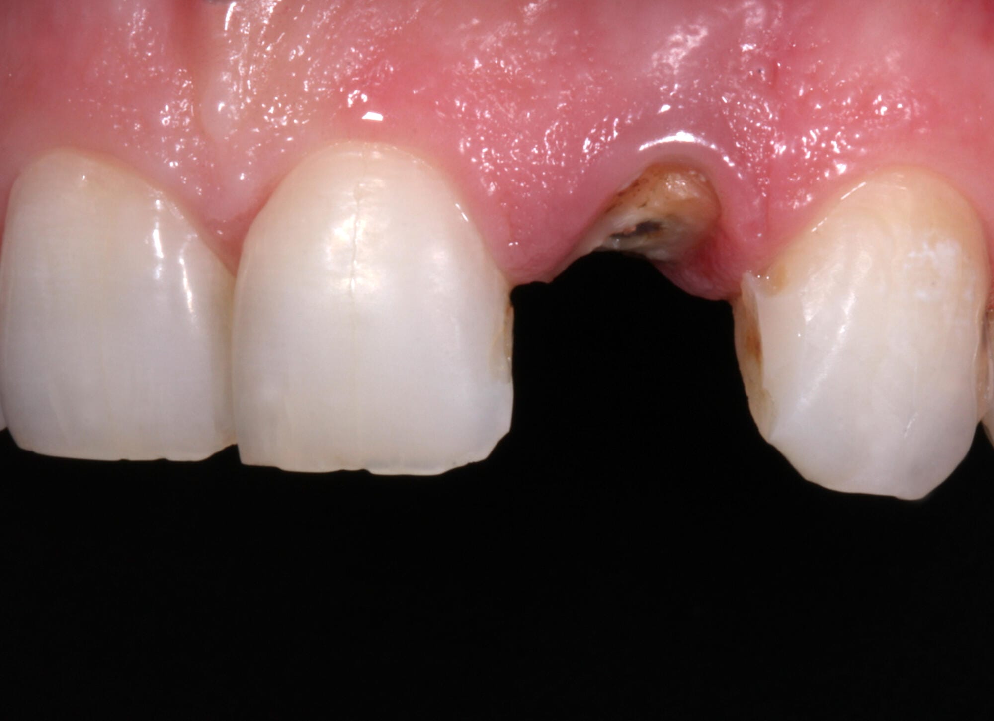
Sophie Williams came to Wimpole Street Dental Clinic with a significant challenge. One of her teeth, previously treated with a root canal, had fractured. This type of failure can be both painful and complicated, often requiring careful evaluation and a well-considered treatment plan.
Presented with her options, Sophie chose to proceed with an immediate dental implant following extraction. This approach requires precision and advanced planning, and Sophie placed her full trust in the team’s expertise to deliver a lasting and natural-looking result.
Experience at Wimpole Street Dental Clinic
Sophie’s treatment began with detailed 3D digital planning to assess the surrounding bone and gum structure. This step was vital in ensuring a safe and effective implant placement.
Once planning was complete, the fractured tooth was carefully extracted, and any residual inflammation in the area was managed. Prof Dr Christian Mehl then placed a dental implant into the prepared site. To support long-term success and maintain the natural shape of Sophie’s gum line, a connective tissue graft was performed at the same time.
One of the key elements of this treatment was the immediate fitting of a temporary crown on the implant. This not only restored the appearance of the missing tooth right away, but it also played a crucial role in preserving the natural contours of Sophie’s gum and soft tissue.
Results
After the procedure, Sophie examined her smile in the mirror. The appearance of healthy gum stippling around the implant was a positive sign that the connective tissues were adapting well. It showed that the fibroblasts and gum fibres were successfully integrating with the implant surface, indicating a healthy healing process.
Sophie’s story is an example of how modern dentistry, when performed with expert precision and care, can turn a difficult situation into a seamless, successful outcome. Her experience reflects the clinic’s commitment to combining clinical innovation with patient comfort.
Thanks to the skilled hands of Prof Dr Christian Mehl and the use of advanced technology, Sophie left the clinic with more than just a replacement tooth. She walked away with a restored smile, renewed confidence, and trust in what high-level dental care can achieve.

Meet the dentist: Prof Dr Christian Mehl
Renowned for his expertise in dental implantology and comprehensive restorative procedures, Prof Dr Christian Mehl played a pivotal role in this patient's treatment. His approach, deeply rooted in precision, innovation, and compassion, ensured that even the most challenging cases could find hope and a solution.Book a consultation
Ready to enhance your smile with natural, lasting results? Book a consultation with Wimpole Street Dental Clinic today. Our expert team will guide you through your options and help you achieve a confident, healthy smile.

