Veneers in London

Minimal-prep porcelain veneers using feldspathic & lithium-disilicate for stunning, natural aesthetics.
Over 1,000 veneers placed, backed by decades of combined specialist cosmetic dentistry experience.
Mock-ups & digital previews let you approve your smile design before any work begins.
Long-lasting results – veneers done properly can endure for decades with conservative enamel preparation.
Transparent pricing & quick recovery, single veneer from ~£1,700, minimal downtime (~24 hours).
clock

Treatment
1 – 6 hours

Dental Bridges

Price
From £1,700

experience

Team Experience
1,000+ veneers placed

hourglass (1)

Recovery Time
24 hours

Dental Bridges

Google Rating
★★★★★ (4.9)

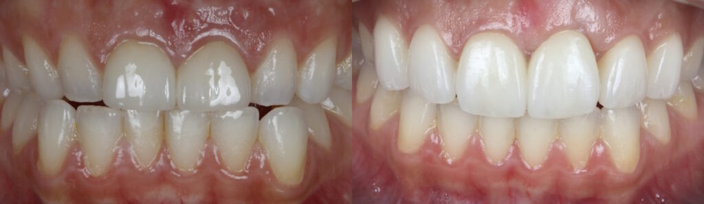
Smile gallery – see real results

1 2 3 4
Home » Veneers

What are Veneers?

Veneers are ultra-thin layers of porcelain or composite resin that are bonded to the front surface of the teeth. They can dramatically improve shape, size, alignment and colour while also protecting natural tooth enamel. Our thin porcelain veneers are handcrafted by expert technicians to achieve a seamless, natural teeth appearance.

At our London dental clinic, we use premium materials including feldspathic porcelain and e.max veneers (lithium disilicate), chosen for their durability and aesthetic qualities. These materials ensure your veneers are both beautiful and long-lasting.

Who is suitable for dental veneers treatment?

Dental veneers treatment is ideal for people with worn or chipped teeth, cracks, small gaps or irregular shapes. Veneers are also an excellent option for those with crooked teeth that don’t require orthodontic treatment, and for anyone with stained or discoloured teeth that don’t respond well to whitening. Veneer treatments offer a minimally invasive solution for restoring the appearance of a healthy, youthful smile.

Types of veneers and cosmetic treatments available

We offer two main types of veneers at our clinic. Porcelain veneers provide a highly durable, natural-looking result and are ideal for patients seeking a long-term aesthetic solution. Composite veneers are a quicker, more cost-effective option that can be applied in a single visit, although they may require more maintenance over time. During your consultation, we’ll help you choose the right option based on your dental needs, preferences and goals.

Cosmetic dentist insight – crowns vs veneers

Crowns are used to restore extensively damaged teeth and cover the entire visible portion of the tooth. Veneers, on the other hand, only cover the front surface. Because of this, veneers are a more conservative option and often require less removal of natural tooth enamel. In many cases, veneers can be fitted with little or no preparation, helping preserve your natural teeth.

The veneers procedure – from first appointment to final smile

Our veneers procedure is designed to be thorough, comfortable and predictable, guiding you through four essential steps.

At your first appointment, we carry out a full dental check. This includes photographing your teeth, taking X-rays if necessary and creating digital impressions. These records help us design a wax-up model, which shows what your final veneers could look like. You’ll have the opportunity to visualise your trial smile and discuss your expectations with your cosmetic dentist.

The second appointment involves transferring the trial smile onto your teeth in a completely reversible way. This gives you a realistic preview of the final result and allows for any adjustments to shape or positioning. Once you’re satisfied, we move forward to the next stage.

At the third appointment, we prepare the teeth with as little enamel reduction as possible. We use magnification tools and precision guides to ensure accuracy and preserve tooth health. Temporary veneers are placed so you can leave the clinic with a confident smile while your final veneers are being created.

About three weeks later, at the final appointment, we fit your permanent porcelain veneers. Using advanced bonding techniques, your veneers are placed with microscopic accuracy for long-term success and a beautiful, natural finish. The placement of veneers is carried out by an experienced dentist with attention to detail and precision.

Consultation and veneers cost in London

A new patient consultation costs £240. The cost of a single veneer starts from £1,700. The total cost depends on the number of teeth being treated and the type of veneers chosen. After your initial consultation, we provide a clear, personalised quote with no hidden fees.

Experts in Veneers – meet the team

At Wimpole Street Dental Clinic, we combine clinical precision with aesthetic expertise to deliver veneers that look stunning and feel completely natural. Based in London’s prestigious Harley Street, our team brings over 75 years of combined experience and has completed more than 10,000 treatments. Recognised internationally as leaders in cosmetic dentistry, we use detailed smile design planning and collaborate with world-class porcelain technicians to ensure every patient achieves a beautiful, lasting result.

Veneers costs

New patient consultation

£240

Single Veneer

From £1,700

Looking for the best Veneers in London?

We believe that any dental treatment carries a huge responsibility and that every patient deserves the best possible treatment, always, without any compromise in quality and safety. That is why our dentists have the right experience and training in cosmetic dentistry but also have the ability to listen and understand what your goals are.

It takes a special kind of dentist, one who is almost obsessed with perfection and who has thousands of hours of aesthetic observation, to be able to deliver veneers that will achieve the smile you were looking for.

Poor diagnosis, rushing steps, and working with average laboratories will result in veneers that look unnatural and that will likely cause gum inflammation. We, of course, are on the opposite spectrum of this and have as our ultimate goal to provide veneers that look stunning and yet so seamlessly natural.

Veneers FAQs

How long do veneers last?

Porcelain veneers can last 10 to 20 years if properly maintained. Their longevity is strongly linked to the amount of enamel preserved during the procedure.

Do veneers stain?

Porcelain veneers resist staining far better than natural teeth. However, the edges where the veneer meets the natural tooth may stain over time without good oral hygiene.

What are veneers made of?

Most veneers today are made from a material called lithium disilicate (commonly known by its brand name, e.max), which is exceptionally strong and relatively easy to work with. However, we often prefer feldspathic porcelain, which, while more time-consuming to produce, allows us to achieve beautifully natural results.

Are veneers painful?

Most veneer preparation is confined to the enamel, so local anaesthesia is often unnecessary. However, in some small areas, dentin may be exposed. If the dentist anticipates this, local anesthesia will be administered to ensure the patient remains comfortable and pain-free.

What do teeth look like under the veneers?

Under veneers, teeth are typically slightly reshaped and minutely reduced to make room for the veneers to fit properly. The prepped teeth may look less aesthetically pleasing due to their reduced size, altered shape, and rough texture. The goal is to create space for the veneers, not to focus on appearance at this stage.

Can veneers fix gaps between teeth?

Yes. Veneers can be custom-designed to close small gaps between teeth, creating a more even and harmonious smile without the need for orthodontic treatment. This makes them an excellent option for patients looking for a fast and effective cosmetic improvement.

What’s the difference between composite and porcelain veneers?

Composite veneers are made from a tooth-coloured resin applied directly to the tooth. They are quicker and less expensive but may not last as long. Porcelain veneers are more durable, stain-resistant and natural-looking, making them the preferred option for patients seeking long-term results.

Do I need to change my diet with veneers?

Not significantly. While porcelain veneers are strong, it’s best to avoid biting down on very hard foods like ice, raw carrots or hard sweets, especially with your front teeth. Sticking to a balanced diet and avoiding darkly pigmented foods will help maintain the colour of your veneers.

Can I get veneers on just one tooth?

Absolutely. A single veneer can be placed to improve the appearance of an individual tooth. Whether it’s chipped, discoloured or oddly shaped, we can craft a veneer that blends in perfectly with your surrounding natural teeth.

Are veneers suitable for everyone?

Veneers are not suitable for patients with active gum disease, extensive tooth decay or those who grind their teeth excessively without wearing a guard. At your consultation, we’ll assess whether veneers are the right treatment or recommend an alternative.

Wimpole St Dental Clinic has strict sourcing guidelines and relies on peer-reviewed studies, academic research institutions, and medical associations. We avoid using tertiary references. You can learn more about how we ensure our content is accurate and current by reading our editorial policy.

Scroll to Top